244 results
PCR @ TCT 2025 - Get the international perspective!
15 Oct 2025
Thanks to the contribution of a team of interventional cardiologists from around the globe, get the international perspective on Late-breaking Clinical Trials and Science released at TCT 2025 - check out the list below.

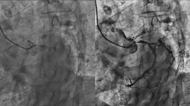
Calcium nodule in circumflex ostium: a complex problem
20 Oct 2025
Analyse this case of an 83-year-old male patient, hypertensive, ex-smoker, with severe COPD and peripheral arterial disease with unstable angina. Coronary angiography revealed a severely calcified lesion in a complex anatomical area, making revascularisation a therapeutic challenge.

Author

Author

Author

Author

Optical coherence tomography- vs angiography-guided coronary stent implantation in calcified lesions: the ILUMIEN IV trial
28 Aug 2025
In the overall population (n = 2,114), there was a significant interaction between the effect of randomisation to OCT guidance vs angiography guidance in lesions with moderate/severe calcification (n = 1,082) vs no/mild calcification (n = 1,032) on the 2-year rate of TVF (Pinteraction = 0.01).

Reviewer

Hostile left main calcific stenosis in HFrEF
20 Aug 2025
Analyse this case to find out how to successfully manage a patient with a severely calcific left main stenosis and severely reduced ejection fraction.

Author

Author
Author

Remove the shaft technique: tips and tricks
30 Jul 2025
When a rota burr stalls in a calcified artery, quick thinking and the right technique are critical. Discover a proven method to recover the burr safely and avoid surgery.

Author

Author

How to manage a stalled burr: tips and tricks
30 Jul 2025
A stalled rota burr is every operator’s nightmare — but being prepared can make all the difference. In this case, an 80-year-old patient with severe calcification in the proximal and mid LAD faces exactly that complication.
What’s your first step to safely retrieve the burr and complete...

Author

Author

How to avoid using a new balloon for trapping?
10 Jul 2025
Trapping wires during complex PCI is essential but dedicated trapping balloons aren’t always on hand — and costs add up fast. This My Toolkit tip shows you how to safely reuse a standard PTCA balloon by stiffening its shaft with the original stylet, making valve crossing...

Author

Author

When high calcium burden meets a 75 year-old patient with previous CABG + SAVR + MVr
02 Jul 2025
This case illustrates how a fragile patient with severe three-vessel disease involving LM/LAD was treated. Watch now to find out more, and share your thoughts!

Author

Author

PCI for complex left main disease - LIVE Case
23 May 2025 – From EuroPCR 2025
An 82-year-old male patient with a history of STEMI and diagonal PCI (2004) presented with stable angina (CCS 2). CT imaging revealed 2 severe LAD stenoses (at the ostium and mid part), and a severe bifurcation stenosis at the Cx/OM1 confirmed by angiography. A staged PCI...

Best companion's case on intravascular lithotripsy
23 May 2025 – From EuroPCR 2025
Join this session focusing on intravascular lithotripsy in challenging cases, emphasizing device and drug synergy, IVUS guidance, and strategies to avoid exacerbating complications. Clinical cases demonstrate management of tough calcified lesions with novel approaches.

Best companions's case on complications in calcified lesions: episode 2
22 May 2025 – From EuroPCR 2025
Join this session examining complex complications in calcified lesion interventions. Learn from cases featuring controversial approaches that successfully resolved issues, coronary perforation management, retrograde iatrogenic dissection after lithotripsy, and algorithmic bailout strategies essential for navigating challenging calcified lesion complications.

Challenging session in calcified lesions
22 May 2025 – From EuroPCR 2025
Engage with a challenging session focused on complex calcified lesion interventions. Topics include innovative triple burr techniques, OCT insights into resistant lesions, volume reduction strategies, eccentric calcium management, and IVUS-guided left main calcified lesion treatment, highlighting practical approaches to difficult cases.

How to address the problem of calcified left main lesions
22 May 2025 – From EuroPCR 2025
Gain expert perspectives on addressing calcified left main coronary lesions in high-risk and complex clinical scenarios. This session features challenging cases including ACS patients with reduced LVEF, severe calcified stenosis of left main bifurcation, complex PCI in post-CABG octogenarians with rotablation under Impella support, and other...

Calcified un-dilatable lesions in ACS: what should I do?
22 May 2025 – From EuroPCR 2025
Address the challenges of severely calcified undilatable lesions during acute coronary syndrome PCI. This session reviews the impact of coronary calcification on PCI strategy, highlights pitfalls in lesion preparation, and presents detailed case studies demonstrating effective treatment approaches.

Calcium modification: contemporary comparaisons of atherectomy and IVL
22 May 2025 – From EuroPCR 2025
Compare contemporary calcium modification techniques including atherectomy and intravascular lithotripsy (IVL) in complex coronary lesions. Review clinical outcomes, procedural case studies, and registry data highlighting safety and efficacy in acute coronary syndrome and high-risk patients.

Best companions's case on complications in calcified lesions
22 May 2025 – From EuroPCR 2025
Delve into challenging cases involving complications in calcified coronary lesions managed with rotational atherectomy. Topics include unique uses of Rotablation, managing burr entrapment, complex calcium and tortuosity combinations, and addressing perforations resulting from stent optimization and burr retrieval in highly calcified vessels.

Best companion's cases on orbital atherectomy
22 May 2025 – From EuroPCR 2025
Dive into advanced cases demonstrating orbital atherectomy techniques for managing challenging calcified coronary lesions. This session includes innovative approaches such as 'sand and knock' calcium modification, orbital atherectomy in complex anatomies, and the use of optical coherence tomography to guide percutaneous treatment of calcified nodules.

LV support for very high risk PCI of calficied lesions
22 May 2025 – From EuroPCR 2025
Discover the role of left ventricular (LV) support in performing very high-risk PCI on heavily calcified lesions. This session highlights techniques for navigating complex calcified coronary anatomies using Impella support, strategies for metal casing reshaping, and management of acute MI and cardiac arrest scenarios. Explore alternative...

PCI for complex calcific coronary artery disease - LIVE Case
22 May 2025 – From EuroPCR 2025
An 87-year-old female patient, at high bleeding risk and with preserved LV function, presented 2 months ago with an inferior STEMI and multivessel disease. She initially underwent RCA PCI followed by staged LCx PCI. She was now referred for PCI of a long, heavily calcified lesion...

Challenges and risks of percutaneous treatment of calcified lesions
22 May 2025 – From EuroPCR 2025
Learn how to effectively manage calcified coronary lesions and their associated risks in this focused session. Understand the critical role of plaque modification and intravascular imaging, and gain insights into addressing stent thrombosis following interventions on calcified lesions through detailed case analyses.
